AI PIONEER Transforms Drug Discovery With Breakthrough Protein Mapping
Researchers have developed PIONEER, new software that simplifies the identification of crucial protein-protein interactions for drug targeting. This tool, which integrates vast genomic data...
GLP-1s like Ozempic are among the most important drug breakthroughs ever
Their far-reaching potential could transform how chronic diseases are managed
Source link
Clinically Isolated Syndrome (CIS) Treatment Market Breakthrough Advances | Philips...
Exploring innovative therapies and growing demand for Clinically Isolated Syndrome (CIS) treatments in the evolving healthcare landscape.
Source link
Wolverhampton doctor hopeful of vitiligo treatment breakthrough
She added: “We currently have at least four medicines in the late phase of trials, supported by Walsall and Wolverhampton participants, which means in...
Florida Cancer Specialists & Research Institute Shares Patient-Centered Treatment Advancements in...
Former Olympian & FCS Patient Shares Her Champion's Mindset
Source link
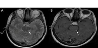
Breakthrough brain cancer treatment gets the green light for trials to...
Finding a cure for glioblastoma -the most common type of brain cancer - has proved difficult because of the biology of the brain. A...
LLNL Unveils Breakthrough Fentanyl Overdose Treatment
A team of Lawrence Livermore National Laboratory (LLNL) researchers has discovered a promising new treatment to counteract the effects of fentanyl and related opioids.The...
King Charles excitedly comments on latest cancer treatment breakthrough
King Charles was happy to find out about improvement in cancer treatment as he fights his own battle against...
Renowned rheumatologist brings breakthrough chronic pain & fibromyalgia treatment to the...
Dr. Stephanie Barrett, one of Europe’s leading rheumatologists with more than 20 years consultant-grade experience, is pioneering the use of...

































