UofL opens ‘medicine kitchen’ to help patients develop healthier eating habits
The University of Louisville is cooking up new ways for medical students to learn.UofL opened the Culinary Medicine Kitchen at the Trager Institute on...
Stem-cell therapies that work: 10 Breakthrough Technologies 2025
The epilepsy trial, from a company called Neurona Therapeutics, is at an early stage—only 15 patients have been treated. But the preliminary results...
MUST READ
Pilates trend in Jacksonville changes fitness priorities with new studio options
JETSET Pilates helps to empower in reaching exercise goalsWith pilates' popularity growing and spreading, JETSET helps build core strength, body-image positivity, long-term health and...
Hydroxychloroquine, Sun Protection & Flare Prevention Tips
Lupus Disease Management focuses on controlling systemic lupus activity while reducing flare...
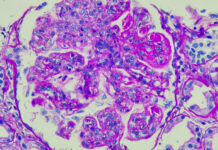
Autoimmune field buoyed by successes with CAR-T treatments
Isabella Cueto covers the leading causes of death and disability: chronic diseases. Her focus includes autoimmune conditions and diseases of the lungs, kidneys, liver...
AACR: UT MD Anderson Shares Latest Breakthroughs in Cancer Research
ABSTRACTS: NG05, 1296, 1297, 1361, 1366, 2709, 3451, 4010, 4020, 4033, 4053, 6724, 6743, 6761, 6788, 6803Newswise — SAN DIEGO, APRIL 14, 2026 ― Researchers...
The 2026 School Nutrition Snapshot
The 2026 School Nutrition Snapshot
School food programs sit right at the intersection of nutrition science, policy, and student health. Alyssa McClelland with Dairy Council...
Learn habits to support brain health at Wausau library presentation
Learn brain health basics at a free ADRC presentation April 20 at the Marathon County Public Library in Wausau. No registration required.Nida Tazeen
| Wausau...
Nutrition
The 2026 School Nutrition Snapshot
The 2026 School Nutrition Snapshot
School food programs sit right at the intersection of nutrition science, policy, and student health. Alyssa McClelland with Dairy Council...
High protein, affordability and clean label: Food trends in Ireland
Ireland food trends summary High protein functional foods dominate Irish demand across dairy snacks mealsTransparency clean labels and local origin claims strongly influence purchasesAffordability...
Quality versus quantity of fat in the diet affects development of diabetes
A new study examines the role of palmitic acid and oleic acid—among the main fatty acids in the diet—in the development of type 2...
FITNESS
Pilates trend in Jacksonville changes fitness priorities with new studio options
JETSET Pilates helps to empower in reaching exercise goalsWith pilates' popularity growing and spreading, JETSET...
These simple acts will improve your health more than any fitness trend
Your support helps us to tell the storyFrom reproductive rights to climate change to Big...
News4JAX+ at 10:30 a.m.: Social media workout trends
If you've spent any time scrolling lately, you've probably seen them—quick workouts you can do...
Forgotten fitness trends from the ’60s and ’70s
Before gyms had juice bars and the word wellness existed, Americans were doing some genuinely...
A workout class sent this St. John’s woman to hospital. She’s not the only one
With the music blasting, the lights dropped low and her feet locked into the pedals...
MEDICAL BREAKTHROUGHS
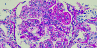
Autoimmune field buoyed by successes with CAR-T treatments
Isabella Cueto covers the leading causes of death and disability: chronic diseases. Her focus includes autoimmune conditions and diseases of the lungs, kidneys, liver...
WELLNESS LIFESTYLE
Study Links 2 Simple Eating Habits to Lasting Lower Weight :...
In the hustle and bustle of modern lives, the best weight-loss tips are simple ideas that will hopefully stick, and recent research has revealed...
Learn habits to support brain health at Wausau library presentation
Learn brain health basics at a free ADRC presentation April 20 at the Marathon County Public Library in Wausau. No registration required.Nida Tazeen
| Wausau...
Utah Teacher Honored for Promoting Healthy Habits in Classroom
Got story updates? Submit your updates here. ›A Clearfield, Utah teacher's innovative approach to integrating movement...









































