Congress must fix IRA’s unfair treatment of genetically targeted therapies
Over the past two decades, scientists have developed a revolutionary new class of medicines with the power to halt or even reverse disease. These...
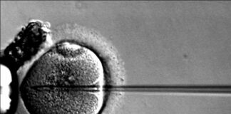
Breakthrough gene therapy reverses genetic deafness across age groups
Using gene therapy to treat hereditary deafness is safe and effective in...
UCSF, Stanford launch $200 million cancer hub to drive breakthroughs in...
This cancer center, the largest of its kind on the West Coast, aims to dramatically improve prevention and treatment over the next decade, with...
FDA Grants Breakthrough Therapy Status for Novel DMD Treatment Del-zota
-- On track for planned BLA submission for del-zota at year end 2025 --
SAN DIEGO, July 23, 2025 /PRNewswire/ -- Avidity Biosciences, Inc. (Nasdaq: RNA),...
Avidity gets FDA breakthrough therapy status for DMD treatment
Avidity Biosciences earns FDA breakthrough status for delpacibart zotadirsen, a promising Duchenne Muscular Dystrophy treatment. Read more here.
Source link
Unmet Needs in Colorectal Cancer Care
In an interview with Targeted Oncology, Benjamin Schlechter, MD, Senior Physician in the Gastrointestinal Cancer Center at the Dana-Farber Cancer Institute, discusses the unmet...
Madrigal’s Surge: Breakthrough in Liver Treatment?
On Thursday, Madrigal Pharmaceuticals Inc. stocks have been trading up by 11.21 percent, amid innovation and analyst upgrades.
Live Update At 14:32:50 EST: On Wednesday,...




































